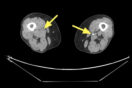
杨凯迪指出,近期诊治一位64岁长期洗肾的女性患者,数月来反复出现下肢刺痛,夜深与洗肾后特别明显,同时右小腿与脚踝各有一处约3x5公分久未愈合的慢性伤口。整形外科医师清创时发现伤口几乎没有出血,转介心脏血管外科,经「踝臂血压指数(ABI)检查」左右脚分别为仅约0.67及0.64,代表下肢血流循环不良。电脑断层血管摄影更显示双侧股动脉及腘动脉严重狭窄。

经与患者沟通后,决定采行「微创导管血管内介入治疗」,目前的血管内治疗,除了常见的血管内气球扩张与支架放置,亦可使用「机械式除栓装置」,清除血管壁上的钙化斑块。搭配「血管内超音波(IVUS)」提供斑块的即时三维影像,协助医师精准定位斑块方位。

杨凯迪说明,传统气球扩张术虽能推开斑块,但术后易再狭窄,若能清除斑块,再使用「涂药气球」或「涂药支架」维持血管管径,可有效维持血管长期通畅。相较传统除栓手术需大范围切开整条血管相比,微创导管仅需2至3毫米的穿刺伤口,伤口极小,对高龄、洗肾或多重慢性病患者,提供更安全有效的选择。

杨凯迪表示,下肢动脉阻塞性疾病属于动脉粥状硬化引起的「血管老化病变」,随年龄增长,内膜增生与斑块堆积使动脉逐渐狭窄甚至阻塞,导致末梢组织缺血坏死。流行病学显示,此病好发于 50 岁以上族群,65 岁后发生率明显上升,80 岁以上更是每5人就有1人受影响,且男性症状较女性明显。

而动脉粥状硬化为全身性血管疾病,若阻塞发生在脑部即为脑中风,在心脏为心肌梗塞,位于下肢便形成下肢动脉阻塞。但初期症状不易察觉,包括走一小段路即出现腿部剧痛需停下休息(间歇性跛行)、下肢冰冷、皮肤无光泽、趾甲增厚及伤口长期不愈等,让患者误以为是退化或疲劳,等到溃疡恶化、脚趾发黑或剧痛难耐就医时,已进入重度缺血阶段。

更危险的是当斑块因受血压剧烈波动生成血栓,恐引发急性阻塞,就是俗称「脚中风」。杨凯迪指出,若出现突发剧痛、皮肤苍白、脉搏消失、感觉异常与肢体瘫痪等典型「5P 症状」,代表已发生急性缺血,若4至6小时内未能恢复血流,组织恐将出现不可逆坏死,让截肢风险骤升。

另外,冬天民众常泡温泉促进循环,杨凯迪也提醒年长族群应避免剧烈冷热交替泡温泉,极端温差会导致血压剧烈波动,增加斑块破裂与血栓风险;泡汤前后应补充水分,避免脱水。糖尿病或年长患者因肢端感觉迟钝,使用暖暖包时勿紧贴皮肤以免烫伤。建议选择温和、非浸热式的外部热源,如医疗用远红外线,温度约 38℃,较为安全且能促进新生血管生长。

杨凯迪强调,下肢动脉阻塞性疾病不是「小毛病」,而是攸关肢体存亡的血管急症。当民众出现腿酸疼痛、脚麻或伤口久治不愈,应提高警觉立即接受血流评估,及早介入治疗,才能远离下肢动脉阻塞悄无声息的伤害。

电脑断层血管摄影显示右股动脉脉阻塞。联新医院提供
电脑断层血管摄影显示右股动脉脉阻塞。联新医院提供

點擊閱讀下一則新聞 點擊閱讀下一則新聞
导入AI技术!新北「爱连网」迎新改版更聪明 回馈心得抽好礼